
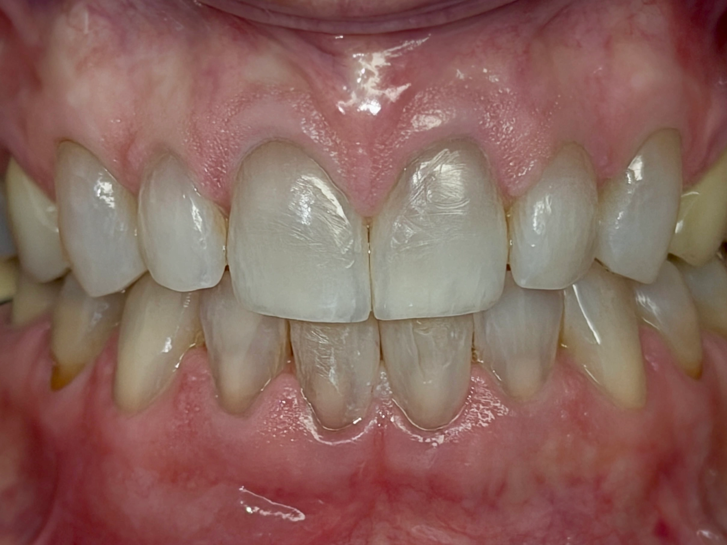
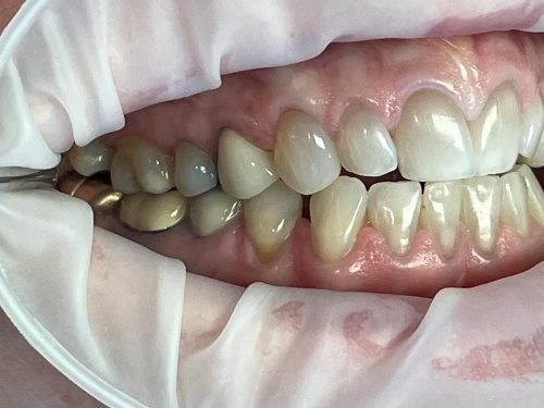
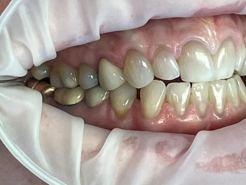
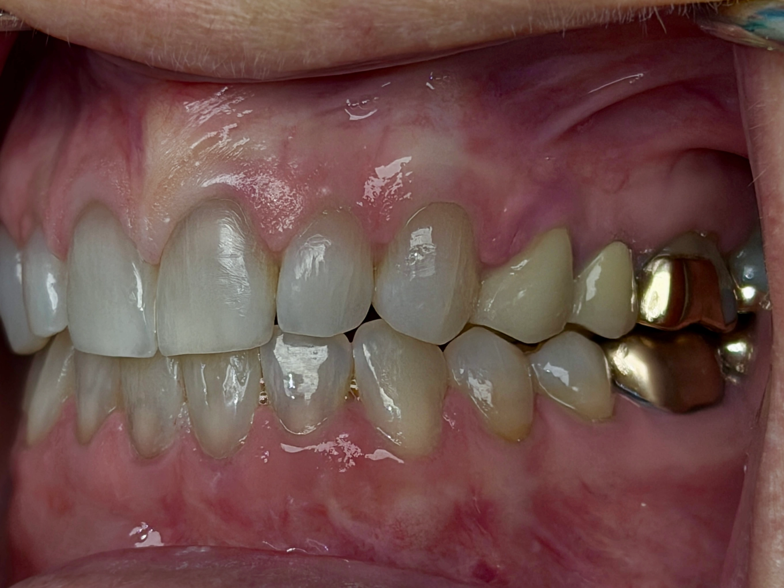
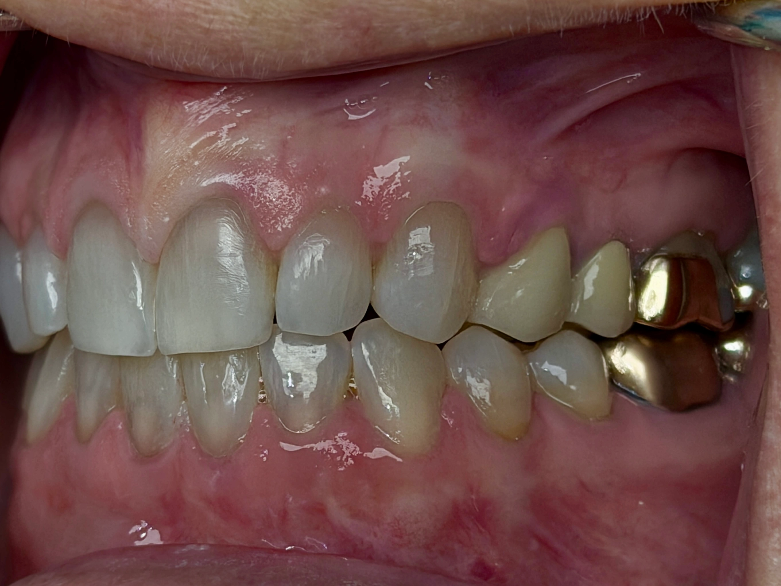
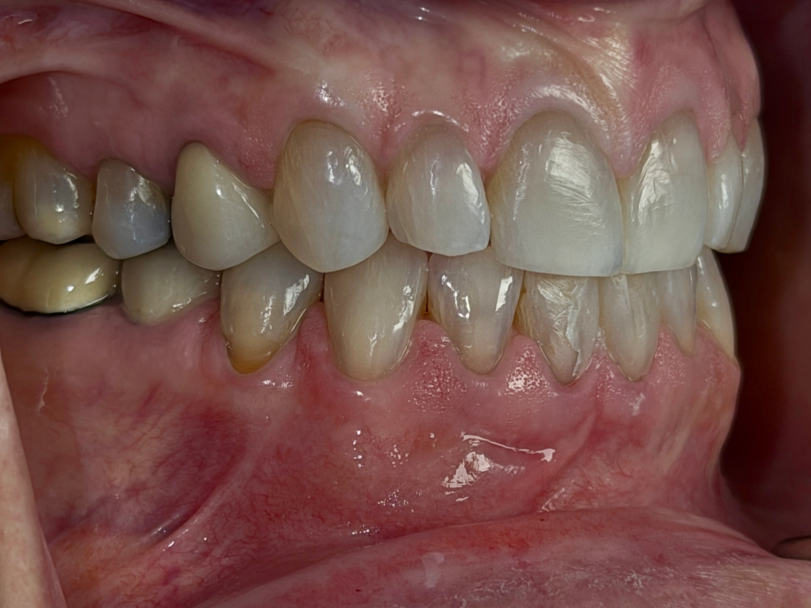
Progress photos from the case — aligner tracking, shade improvement, and bonding detailing.
















Case 01
Never too late for a new smile
👩🦳 66-year-old patient | Alignment, whitening, and bonding
She wanted a confident smile for everyday moments and photos.
A thoughtful sequence of orthodontics, whitening, and minimally invasive bonding created a brighter, fuller smile without aggressive drilling or veneers.
Plan
Roughly 12 months with Invisalign®, 1 in-office Zoom! Whitening session, followed by precise bonding to close lower black triangles.
⏱️ Treatment span
~12 months
Clear aligners at a steady pace
✨ Finishing touch
1 visit
Zoom! Whitening in-office
🧩 Detailing
Composite bonding
Closed lower black triangles
- Crowding and rotated teeth that had shifted over time
- Black triangle spaces on the lower front teeth
- Darkened shade from years of coffee and tea
- Invisalign® clear aligners for about a year to gently align teeth
- One in-office Zoom! Whitening session after aligner therapy
- Targeted composite bonding on lower front teeth to close black triangles
- Aligned, more balanced smile arc
- Brighter shade after whitening with a natural finish
- Closed black triangles for a fuller, more youthful look
What bothered the patient
- Crowding and rotated teeth that had shifted over time
- Black triangle spaces on the lower front teeth
- Darkened shade from years of coffee and tea
How we treated it
- Invisalign® clear aligners for about a year to gently align teeth
- One in-office Zoom! Whitening session after aligner therapy
- Targeted composite bonding on lower front teeth to close black triangles
Outcome
- Aligned, more balanced smile arc
- Brighter shade after whitening with a natural finish
- Closed black triangles for a fuller, more youthful look
Services involved
